Bọc răng sứ là gì?

Chúng ta thấy trên đây là một hàm răng có răng cửa bình thường
Hãy tưởng tượng rằng có 1 răng chịu một va chạm dẫn đến gãy răng, răng sau chữa tủy răng do nhiễm trùng tủy răng rất dễ vỡ, dễ gãy vì men răng và ngà răng không được nuôi dưỡng bởi tủy răng nữa, thân răng xấu và tối màu do tác dụng phụ của Tetracycline, mất răng và làm răng mới bằng phương pháp cầu răng sứ
Bác sĩ sẽ thay đổi hình thể răng để tạo ra một cùi răng nhỏ hơn thân
răng thật để có khoảng trống cho một vỏ răng mới
Một bản sao của hàm răng được copy để gửi đến laboratory làm vỏ hay
chụp răng mới
Sau khi có vỏ hay chụp mới, nó được gắn vĩnh viễn trở lại trên răng
Để hoàn thiện thân răng sứ mới gắn chặt trên miệng, thông thường cần hai lần hẹn điều trị cách nhau khoảng 1 đến 3 ngày tùy phương pháp điều trị, Lần hẹn 1 để tư vấn, làm sạch răng miệng và trám bít hết các lỗ sâu răng, đo đạc để copy được một hàm răng thạch cao tương đương về mặt kich thước với hàm răng thật, so màu để truyền đạt thông tin về màu sắc các răng bên cạnh cho Lab dùng loại sứ cùng màu với màu răng thật trên miệng bệnh nhân, có thể gắn răng tạm để chờ hẹn lần 2 nếu răng cần chụp sứ là răng cửa, thời gian cần cho lần hẹn 1 là 60 phút đến 120 phút tùy khối lượng công việc. Lần hẹn 2 cần khoảng 30 phút để làm sạch cùi răng và kiểm tra sự kênh, chỉnh sửa hình thể, màu sắc, gắn chụp sứ vĩnh viễn, loại bỏ chất gắn dư.

Chất liệu sứ không kim loại thường được dùng để làm răng sứ các răng vùng cửa vì ưu điểm nổi bật về tính thẩm mỹ

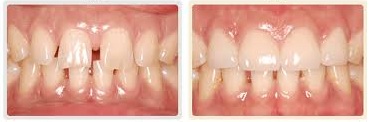
Răng cửa bị mẻ và bọc lại thân răng sứ giống hệt răng tự nhiên


Trường hợp khác, bọc răng hàm:

Răng hàm sau khi bị các tổn thương trên thân răng ( chữa tủy răng, vết vỡ răng to, có đường nứt...) như răng số 1 được mài nhỏ như răng số 2 và gắn chụp sứ để tái tạo lai hình thể như răng số 3
Thành công của một răng implant nha khoa đến từ sự chuẩn bị kỹ càng của nhà làm chuyên môn và sự phối hợp hợp tác của người được làm răng implant: Các điều kiện cần để tối ưu: Cung cấp đầy đủ thông tin tình trạng sức khỏe, tuân thủ hướng dẫn của nhân viên y tế, sử dụng răng trong giới hạn tải lực ch
Phẫu thuật trong miệng là tiểu phẫu cần tiến hành trong các can thiệp nha khoa với các chỉ định: Nhổ răng trong nắn chỉnh răng, nhổ răng ngầm, nhổ răng thừa, nhổ răng kẹ, lạc chỗ, tháo vít nẹp xương, cấy implant, tạo hình viền lợi, cắt phanh môi, bắt và tháo vít neo chặn, thay các phụ kiện trong quá
AUTO SMS: Địa chỉ & Lịch làm việc Nhakhoa Rangsu.vn

